닫기닫기
전체메뉴 닫기

석면 피해구제란

석면 피해구제란

석면피해구제제도란

석면은 악성중피종 등 인체에 치명적인 질병을 일으키는 1군 발암물질로 긴 잠복기(15~40년)를 거쳐 건강피해 발생이 증가함에 따라 피해구제 필요성 대두

  • 근로자의 경우 「산업재해보상보험법」등에 따라 산재보상 등을 받을 수 있지만,
  • 과거 석면광산 또는 석면 취급공장 주변에 거주하는 주민들을 비롯한 환경성 석면 노출로 인한 건강피해자는 구체적인 원인자를 규명하기 어려워 마땅한 보상과 지원을 받지 못함

석면으로 건강피해를 입었으나, 마땅한 보상을 받지 못하는 사람을 구제하기 위하여 그간 석면사용으로 인한 혜택을 공유한 국가와 지방자치단체, 그리고 산업계가 함께 재원을 마련하여 건강피해를 구제

「석면피해구제법」을 제정(2011. 1. 1. 시행)하여 석면으로 인한 건강피해자 및 유족에게 구제급여를 지급함으로서 건강피해를 신속하고 공정하게 구제

구제법 제·개정 과정

2025
01.01「석면피해구제법」일부개정(법률 제20383호)
2021
07.06「석면피해구제법」일부개정(법률 제17842호)
2020
05.26「석면피해구제법」타법개정(법률 제17326호)
2019
12.24「석면피해구제법」시행령 타법개정(대통령령 제30256호)
12.20「석면피해구제법」시행규칙 타법개정(기후에너지환경부령 제833호)
07.02「석면피해구제법」시행령 타법개정(대통령령 제29950호)
01.15「석면피해구제법」타법개정(법률 제16272호)
2018
05.24「석면피해구제법」시행규칙 일부개정(기후에너지환경부령 제758호)
법 개정(법률 제15098호)에 따른 한국환경산업기술원으로 이관된 업무에 관한 규정·서식 정비 및 석면환경보건센터 지정절차 및 기준 등 정함 석면피해인정 신청시 필요 구비서류였던 폐기능 장해검사 서류 제출 생략 석면건강관리수첩 교부·관리·반환 등 업무 한국환경산업기술원 이관 (기존 석면환경보건센터) 체계적인 석면노출 평가를 위한 석면 노출정도 확인 질문서 변경 05.15「석면피해구제법」시행령 일부개정(대통령령 제28887호) 법 개정(법률 제15098호)에 따른 관련 기준 마련 및 한국환경산업기술원으로 이관된 업무에 관한 규정 정비 특별유족조의금 및 특별장례비 일시 지급(기존 3년 분할 지급)
2017
11.28「석면피해구제법」일부개정(법률 제15098호)
석면피해 구제업무 한국환경산업기술원으로 이관 석면건강영향조사를 위한 개인정보 등 필요 정부 행정기관 요청 근거 마련 석면환경보건센터 유효기간 및 평가·지정취소 등 신설 부당이득 징수 업무 한국환경산업기술원으로 이관(기존 기후에너지환경부) 07.17「석면피해구제법」시행령 일부개정(대통령령 제28184호) 석면피해인정 등을 위한 진찰 및 검사 등 의료기관 확대 석면피해인정기준 보완·개선
2016
12.27「석면피해구제법」일부개정(법률 제1448호) 석면피해판정위원회 위원수 확대(10명→15명)를 통한 전문성 강화 석면피해자 지원 확대를 위한 장례비 등 구제급여 지급조건 완화
2015
11.30「석면피해구제법」시행령 일부개정(대통령령 제26683호)
「국민기초생활 보장법」기준중위소득 도입으로 요양생활수당 등 구제급여 체계 개편(기존 최저생계비) 02.03「석면피해구제법」일부개정(법률 제13165호)
2014
12.31「석면피해구제법」시행규칙 일부개정(기후에너지환경부령 제588호)
석면건강관리수첩 반환 조항 신설 12.31「석면피해구제법」시행령 일부개정(대통령령 제25949호)
석면폐증 및 미만성 흉막비후의 석면피해인정 유효기간 5년으로 일원화 석면폐증(제1급) 및 미만성 흉막비후의 요양생활수당 지급기간 연장(2년→5년) 03.18「석면피해구제법」일부개정(법률 제12461호)
01.08「석면피해구제법」시행규칙 일부개정(기후에너지환경부령 제536호)
2013
07.15「석면피해구제법」시행규칙 일부개정(기후에너지환경부령 제512호)
시행령 개정(대통령령 제24541호)에 따른 관련 규정 및 서식 정비 05.22「석면피해구제법」시행령 일부개정(대통령령 제24541호) 석면질병에 미만성 흉막비후 추가(대상질병 3종→4종) 요양생활수당 20% 인상 석면폐증 요양급여 지급 개시
2012 01.06「석면피해구제법」시행령 타법개정(대통령령 제23488호)
2011 12.31「석면피해구제법」타법개정(법률 제11141호)
01.01「석면피해구제법」시행
2010 12.07「석면피해구제법」시행규칙 제정(기후에너지환경부령 제388호)
11.19「석면피해구제법」시행령 제정(대통령령 제22500호)
03.31「석면피해구제법」타법개정(법률 제10193호)
03.22「석면피해구제법」제정·공포(법률 제10155호)
02.26 국회 본회의 통과
02.22~24 법사위 법안심사제2소위원회(2/22) 및 전체회의(2/24)
2009 12.22 국회 상임위(환노위) 의결
12.03「석면피해구제법안」정부의견 국회 제출
07.10 석면피해구제법 제정방침 제시(총리주재 국가정책조정회의)
03.26 석면피해보상관련 4개 의원입법안 국회 환노위 상정

구제대상 석면질병

구제대상자

  • 환경성 석면 노출로 인한 건강피해자 및 (피해를 입고 사망한 사람의) 유족
  • 아래의 법률에 따라 급여 등을 받을 수 있는 사람은 제외(「석면피해구제법」제3조) 「산업재해보상보험법」 「공무원재해보상법」 「군인재해보상법」 「선원법」 「어선원 및 어선 재해보상보험법」 「사립학교 교직원 연금법」에 따라 급여 등을 받을 수 있는 사람

법 제2조 및 시행령 제2조

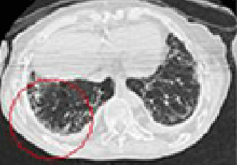
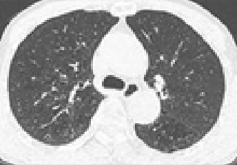
원발성[原發性] 악성중피종(잠복기 약 20~35년)
잠복기가 약 20~35년에 걸친 석면으로 인한 원발성 악성중피종에 대한 CT사진
석면 노출이 발생원인으로 알려진 대표적인 암으로 중피세포가 둘러싸고 있는 흉막, 복막, 심장막 등에 발생
  • 흉막중피종 : 흉막이 중피종으로 두꺼워져 폐의 부피가 감소
  • 질병분류코드 : C45(중피종), C450(흉막의 중피종), C451(복막의 중피종), C452(심장막의 중피종), C457(기타 부위의 중피종) (www.koicd.kr, 질병분류정보센터 참조)
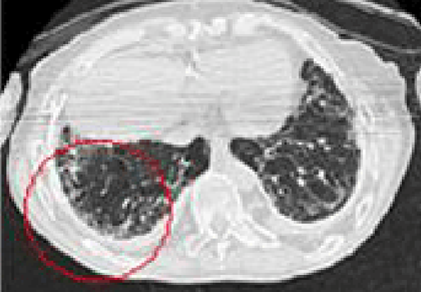
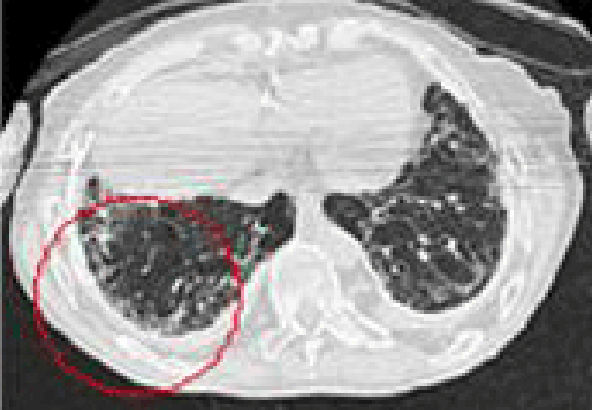
원발성 폐암(잠복기 약 20~40년)
잠복기가 약 20~40년에 걸친 석면으로 인한 폐암에 대한 CT사진
석면노출로 인한 폐암으로 석면폐증 또는 흉막반 동반
  • 석면노출로 인한 폐암 발생 위험도는 비 노출자의 5배
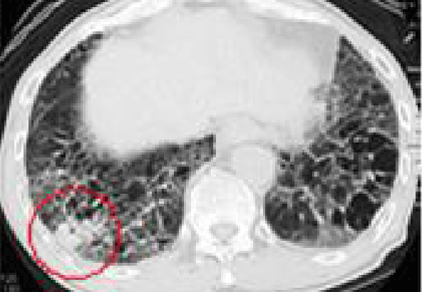
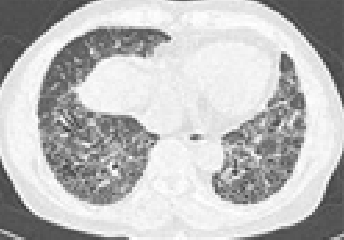
석면폐증(잠복기 약 15~40년)
잠복기가 약 15~40년에 걸친 석면으로 인한 석면폐증에 대한 CT사진
석면에 의한 폐 조직에 상처로 나타나는 폐섬유화 증상
  • 폐의 섬유화로 희게 나타나며 공기집이 생겨 벌집모양으로 나타남
석면폐증의 병 유형(의심형, 초기형, 진행형) 및 폐기능 장해단계(정상, 경도장해, 고도장해)에 따라 1~3급으로 구분
  • 석면폐증의 병 유형 : 폐섬유화 소견에 따라 의심형, 초기형, 진행형으로 구분
폐섬유화 소견에 따른 의심형 이미지 〈의심형〉
폐섬유화 소견에 따른 초기형 이미지 〈초기형〉
폐섬유화 소견에 따른 진행형 이미지 〈진행형〉
폐기능 장해정도 : 노력성 폐활량(FVC), 1초량(FEV1), 폐확산능(DLCO) 검사결과에 따라 정상, 경도장해, 고도장해로 구분
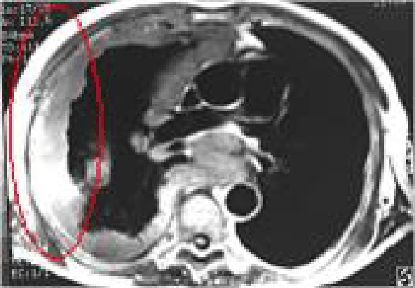
미만성 흉막비후(잠복기 약 15~20년)
잠복기가 약 15~20년에 걸친 석면으로 인한 미만성 흉막비후에 대한 CT사진
폐를 둘러싸는 흉막이 석면에 의해 전체적으로 비대(미만성)해 지면서 폐의 팽창을 방해해 호흡이 곤란해지는 질병 폐기능 장해단계가 고도장해인 경우

구제제도운영체계

총괄 : 기후에너지환경부

  • 석면피해구제 제도 총괄
  • 석면피해예방사업 관리, 석면피해구제기금 관리 운용
  • 석면피해구제법, 시행령 등 법적 기반 마련
  • 석면환경보건센터 운영 및 관리

구제심사 : 환경분쟁조정피해구제위원회

  • 석면피해(특별유족) 인정여부, 구제급여 지급 결정
  • 석면피해인정 유효기간 갱신 및 취소
  • 수급권자 및 수급권 변동 처리·관리
  • 재심사 청구 심리·결정
  • 석면분야 환경피해구제분과위원회 구성·운영 등
  • 석면피해의료수첩 교부·관리

위탁기관 : 한국환경산업기술원

  • 석면피해(특별유족) 인정여부 결정 청구 접수
  • 구제급여 지급 청구 접수
  • 구제급여 지급·관리
  • 석면피해검사비용 지급신청 접수 및 지급
  • 부당이득 납부 고지·징수 등
  • 석면피해구제기금 관리·운용 지원
  • 석면피해구제시스템 구축·운영

구제사무 집행기관 : 관할 지방자치단체

  • 석면피해구제 및 특별유족인정 신청 접수
  • 석면피해구제급여 신청접수 및 지급

제도운영체계도

제도운영체계도 도식화 (하단내용참조)

현재 페이지에서 제공하는 정보에 만족하셨습니까?